شوهر آزاری به وسیله میخ و سوزن جمعه ۱۳ اردیبهشت ۱۳۸۷ - ۰۲ می ۲۰۰۸
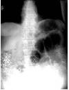
سهشنبه ۰۶ ژانویه ۲۰۰۹ - ۱۷ دی ۱۳۸۷ ماجرا از این قرار بوده که یک خانم محترم برای کشتن همسر گرامی خودشان از یک روش ابداعی بسیار جالب استفاده کرده اند. ایشان درون کپسول های دارویی را با میخ های ریز و سوزن های ته گرد پر می کرده و به شوهر بیچاره می خورانده است.