گرانی باعث کاهش مراجعه ایرانیان به دندانپزشکان شده است

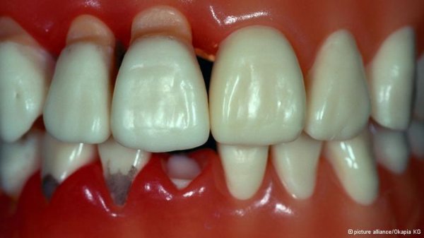
به گفته غلامرضا غزنوی رئیس انجمن دندانپزشکی ایران مواد دندانی در اختیار دندانپزشکان رو به اتمام است یا یا به شدت کمیاب شده است. به همین دلیل گرانیهای اخیر باعث کاهش مراجعه بیماران به دندانپزشکان شده است.
به گفته غلامرضا غزنوی رئیس انجمن دندانپزشکی ایران، کمبودها و گرانیهای اخیر بر روی مراجعه بیماران اثر گذاشته است به طوری که بیماران ترجیح میدهند کمتر به دندانپزشک مراجعه کنند.
رئیس انجمن دندانپزشکی ایران جمعه ۱۵ دی ۱۳۹۱ در گفتوگو با یک خبرگزاری داخلی گفته است: «در صورتی که مواد دندانی در اختیار دندانپزشکان باشد میتوانند به مردم در پرداخت هزینههایشان کمک کنند، درحالی که متاسفانه هماکنون این مواد و تجهیزات رو به اتمام یا به شدت کمیاب شده است، بنابراین پیشبینی میشود درمانهای دندانپزشکی کمتر و کمتر میشود.»
غلامرضا غزنوی از نهادهای دولتی خواسته است درباره این موضوع برنامهریزیهای کلان انجان دهند، چرا که گروههای دندانپزشکان نمیتوانند تمام هزینهها را برعهده بگیرند. آنطور که رئیس انجمن دندانپزشکی ایران اعلام کرده، ضرر نهایی گرانیها متوجه بیمارانی است که به دنبال درمانهای خاص، پیشرفته و جدید هستند و تمامی این درمانها هزینهبر است.
پیش از این نیز علی تاجرنیا دبیر اجرایی کنگره "بینالمللی دندانپزشکی خاورمیانه" دوشنبه ۲۷ شهریور ۱۳۹۱ گفته بود در یک سال گذشته قیمت خدمات حوزه دندانپزشکی در ایران ۴۰ تا ۱۰۰ درصد افزایش یافته است. به گزارش خبرگزاری ایسنا، علی تاجرنیا در نشست خبری "کنگره بینالمللی دندانپزشکی" ادامه داده بود در درمانهای دندانپزشکی ۹۰ درصد هزینه خدمات را مردم و تنها ۱۰ درصد آن را دولت میپردازد.
در ایران به ازای هر ۳۵۰۰ نفر یک دندانپزشک وجود دارد.
کمبود شدید دارو و تجهیزات پزشکی
بحران بیسابقه در خدمات درمانی ایران از چند ماه پیش شروع شده است. بسیاری از بیمارستانهای دولتی ایران در آستانه ورشکستگی قرار گرفتهاند. سازمانهای بیمه ۵ ماه است بدهیهای خود را به بیمارستانها نپرداختهاند. دولت نیز بودجه برخی از دانشگاههای پزشکی را پرداخت نکرده است.
در ادامه بحران دارو و درمان در ایران مرضیه وحید دستجردی وزیر سابق وزارت بهداشت، درمان و آموزش پزشکی گفت گرانی ارز مورد نیاز برای واردات دارو سبب کمبود دارو در ایران شده است. او که تنها وزیر زن دولت احمدینژاد بود، اندکی بعد از این اظهارات از کار برکنار شد.
مسئولان بهداشت و درمان در ایران اذعان میکنند که مردم در گذشته ۵۴ درصد هزینه درمان را از جیب خود پرداخت میکردند ولی اکنون این میزان به بالای ۷۰ درصد رسیده است.