جمعه ۱۳ اردیبهشت ۱۳۸۷ - ۰۲ می ۲۰۰۸
شوهر آزاری به وسیله میخ و سوزن

ما فکر می کردیم که این دانش آموزان آمریکایی خیلی آدم های خفنی هستند که از دوربین های سرعت سنج پلیس برای انتقام گیری استفاده می کنند. اما مثل اینکه دست بالای دست بسیار است. این مورد «شوهر آزاری» نه تنها بسیار عجیب تر است، بلکه در ایران و در یکی از شهرستان های آذربایجان شرقی اتفاق افتاده.
ماجرا از این قرار بوده که یک خانم محترم برای کشتن همسر گرامی خودشان از یک روش ابداعی بسیار جالب استفاده کرده اند. ایشان درون کپسول های دارویی را با میخ های ریز و سوزن های ته گرد پر می کرده و به شوهر بیچاره می خورانده است.
آقای «الف» دارای وضعیت اقتصادی خوبی بوده است که پس از مرگ همسر اول در سن 84 سالگی با یک خانم 40 ساله ازدواج می کند.
حدود یک ماه بعد از ازدواج عوارضی مانند ضعف جسمانی و اختلالات روحی و روانی در آقای «الف» به وجود آمده است. یکی از فرزندان این فرد متوجه می شود که همسر جدید کپسول هایی را بدون بسته بندی دارویی به وی می دهد. با مشکوک شدن و باز کردن کپسول ها، متوجه وجود میخ و سوزن ته گرد در این کپسول ها می شوند.
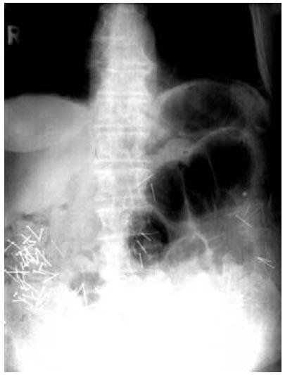
بعد از مراجعه به پزشک در رادیوگرافی که از شکم این فرد گرفته شده است 30 عدد سنجاق ته گرد و 48 عدد میخ در شکم این فرد مشاهده می شود. با درمان دارویی و رژیم غذایی پزشکان موفق به خارج کردن میخ ها و سوزن ها می شوند البته این فرد دو ماه بعد به علت سکته قلبی فوت می کند. متعاقب مرگ این فرد فرزندان وی ضمن شکایت خواستار بررسی علت فوت و بررسی هرگونه ارتباط احتمالی بین مرگ ایشان با اقدامات انجام شده توسط همسر وی می شوند. اما بعد از کالبد شکافی شواهدی که ارتباط میان این دو را ثابت کند به دست نیامد.
منبع : مجله علمی پزشکی قانونی
| 5610 - ایران - تهران |
خوب این هم اخر عاقبت زن گرفتن |
سهشنبه 17 دی 1387 |
|
| mooshijoon2009 - ایران - تهران |
بله بله بله خوشمان امد تورکها شما چرررررا. |
سهشنبه 17 دی 1387 |
|
| sarab22 - المان - دوسلدورف |
فکر کنم اهن بدن شوهر کم شده بود و شبها جنب جوش خوبی برای خانمش نداشت با اینکار میخواست انرژی به همسرش بده. |
سهشنبه 17 دی 1387 |
|
| takht-e-jamshid - ایران - تهران |
سلام به دوستان و دشمنان عزیز.
بعضی ها نمیتونند نون راحت بخورند و حتما باید کار خودشون رو سخت کنند...آخه خانم تو که رفتی زن دوم یه مرد 84ساله شدی یه کم صبر میکردی تا خود روزگار روزیت رو میداد...
هرچند که اگه بعضی از خانمها عقل و منطق داشتند که اوضاع دنیا این نبود
تاکید میکنم بعضی از خانمها نه همشون... |
سهشنبه 17 دی 1387 |
|
| SHABNAM87 - نروژ - برگن |
بعضی ها عقلشون به چه کارها میرسه ! |
سهشنبه 17 دی 1387 |
|
| mah1 - ایران - تهران |
حتما قصدش طبه سوزنی بوده واسه محکم کاری چندتا میخم چاشنیش کرده! |
سهشنبه 17 دی 1387 |
|
| bayan - المان - بن |
اگه خانم ازشوهرش بدش مئاد ازش جدا بشه دیگه این کارا چیه به نظر مناین کار جرم مگه نه |
سهشنبه 17 دی 1387 |
|
| elora - نروژ - اسلو |
mah1 - ایران - تهران
خیلی جالب گفتین کلی خندیدم مرسی |
چهارشنبه 18 دی 1387 |
|
| shabnam anti mammad! - استرالیا - سیدنی |
mah1 - ایران - تهران
خیلی بانمک بود. |
چهارشنبه 18 دی 1387 |
|
| غزل باران _ایران _یزد - ایران - یزد |
باز هم بگین ترکها فلان و بهمان البته ما یک ترک میشناسیم به جای سوزن ومیخ زهر و خون به لقمه مون میبنده و به اسم داروی مبازه بادشمنی که هنوز نمیدونیم کیه و چکار کرده به خوردمون میده و هفتاد میلیون را معالجه ذهنی و شستشوی مغزی میده و اول اسمش خامنه ای شاید باشه راهنمای بیشتری نمیتونم بکنم اگه گفتید کیه |
چهارشنبه 18 دی 1387 |
|
| jojo666 - ایران - تبریز |
mooshijoon2009 - ایران - تهران
عجب ادم خ ...ف ت ی هستی. |
چهارشنبه 18 دی 1387 |
|
| farhad_swIss_zurich - سویس - زوریخ |
بدبخت مرده چه عذابی کشیده تا اون همه اهنو دفع کنه |
شنبه 21 دی 1387 |
|
| Dokhtare kad khoda - اترپش - وپن |
خوبه بدبخت شوهره زنگ نزده ((: |
یکشنبه 22 دی 1387 |
|