گزارش گاردین از هدف‌گیری عمدی اعضای حیاتی بدن برای سرکوب معترضان در ایران

ایران اینترنشنال: به گزارش روزنامه گاردین، بررسی ده‌ها تصویر پزشکی ثبت‌شده در جریان سرکوب اعتراضات در ایران نشان می‌دهد معترضان با ساچمه‌های فلزی و گلوله‌های کالیبر بالا هدف قرار گرفته‌اند. تصاویری که به گفته کارشناسان، از شدت جراحات و الگوی اصابت به نواحی حیاتی بدن حکایت دارند.

بر اساس گزارش گاردین که در همکاری با «فکت‌نامه»، سه‌شنبه ۲۸ بهمن منتشر شده است، تصاویر پزشکی اعتراضات ایران از الگوی جراحات شدید و مرگبار خبر می‌دهند.

در این گزارش که به بررسی موارد متعدد مرتبط با معترضان پرداخته است، نام شهروندان برای حذف هویتشان تغییر یافته است:

روی صورت «آناهیتا»، نقطه‌های سفید مانند یک صورت فلکی دیده می‌شود. نقاطی که در حفره‌های چشم، روی گونه و پیشانی و حتی در بخش‌هایی از مغز پراکنده‌اند. هر نقطه، یک ساچمه فلزی است که در تصاویر سی‌تی‌اسکن ثبت شده است. این ساچمه‌ها که از شاتگان شلیک می‌شوند، در فاصله نزدیک می‌توانند استخوان را خرد کرده و به‌راحتی به کره چشم نفوذ کنند.

آناهیتا که در اوایل دهه سوم زندگی خود است، دست‌کم یک چشم و احتمالا هر دو چشمش را از دست داده است.

تصویر او یکی از بیش از ۷۵ مجموعه تصویر پزشکی شامل رادیولوژی و سی‌تی‌اسکن است که از یک بیمارستان در یکی از شهرهای بزرگ ایران به دست آمده و در اختیار گاردین قرار گرفته است. تصاویری که در طول یک شب و هم‌زمان با سرکوب اعتراضات دی‌ماه ثبت شده‌اند.

تصاویر، روایتی از شدت خشونت علیه معترضان و رهگذران ارائه می‌دهند.
تغییر الگو؛ از کنترل جمعیت تا شلیک با سلاح جنگی
بر اساس گزارش گاردین، روایت پزشکان و شاهدان عینی در شهرهای مختلف ایران از تغییر شیوه برخورد نیروهای امنیتی خبر می‌دهد. تغییری که در آن به‌جای روش‌های متعارف کنترل جمعیت، از سلاح‌هایی با قدرت کشندگی بالا استفاده شده است.

در یکی از تصاویر، گلوله‌ای کالیبر بالا در گردن یک جوان دیده می‌شود که باعث جابه‌جایی نای و خونریزی گسترده شده است.

در پرونده‌ای دیگر، گلوله‌ای در مغز یک بیمار باقی مانده و وجود حباب در جمجمه، نشانه‌ای از آسیب شدید مغزی است. آسیبی که کارشناسان آن را با احتمال پایین بقا توصیف کرده‌اند.

در تصاویر دیگر نیز گلوله‌هایی در نزدیکی ستون فقرات یا مسیرهای مشخص تخریب بافت و استخوان دیده می‌شود.

یکی از متخصصان که تصاویر را بررسی کرده، گفته است: «وقتی با چنین سلاح‌هایی به سمت مردم شلیک می‌کنید، هدف کشتن است.»بررسی کارشناسی؛ تحقیق مشترک گاردین و فکت‌نامه
این تصاویر در قالب یک تحقیق مشترک میان گاردین و پلتفرم راستی‌آزمایی فکت‌نامه بررسی و از سوی گروهی از متخصصان پزشکی خارج از ایران تحلیل شده‌اند؛ از جمله پزشک اورژانس، رادیولوژیست و متخصص تصویربرداری آسیب‌های شدید.

یک پزشک ایرانی سابق اورژانس نیز اصالت تصاویر را تایید کرده و گفته نرم‌افزار مورد استفاده با سیستم بیمارستان مربوطه سازگار است و نشانه‌ای از دستکاری مشاهده نمی‌شود.

کارشناسان تاکید کرده‌اند بدون پرونده کامل پزشکی نمی‌توان درباره سرنوشت هر بیمار اظهار نظر قطعی کرد، اما الگوی کلی جراحات «روشن و قابل توجه» است.

به گفته یکی از پزشکان مشاور، حجم آسیب‌ها در این مجموعه تصویری گویای یک وضعیت «تلفات گسترده» است. شرایطی که حتی بیمارستان‌های بزرگ نیز در مواجهه با آن با فشار شدید مواجه می‌شوند.فقط بخشی از واقعیت ثبت شده است
گاردین نوشت: «پزشکان یادآور می‌شوند که این تصاویر تنها مربوط به بیمارانی است که تا مرحله انجام اسکن زنده مانده‌اند.»

در ادامه این گزارش آمده است بسیاری از افراد که گلوله مستقیم به سر آن‌ها اصابت کرده، اساسا به مرحله تصویربرداری نمی‌رسیده‌اند.

در شرایط بحرانی، بیمارستان‌ها مجبورند بیمارانی را در اولویت قرار دهند که با وجود شدت جراحات، امکان درمانشان وجود دارد: «بنابراین، این تصاویر تنها وضعیت بخش کوچکی از مجروحان را بازتاب می‌دهد.»ساچمه‌هایی که می‌توانند مرگبار باشند
ایران از معدود کشورهایی است که نیروهای امنیتی آن از ساچمه فلزی علیه شهروندان و برای سرکوب معترضان استفاده می‌کنند. هرچند هر ساچمه به‌اندازه گلوله جنگی قدرت تخریب ندارد، اما تعداد زیاد آن‌ها می‌تواند آسیب‌هایی بسیار شدید ایجاد کند.

گاردین در گزارش خود تاکید کرد که در برخی تصاویر، تنها یک یا دو ساچمه در جمجمه دیده می‌شود که پس از عبور از چشم در حفره آن متوقف شده‌اند.

در موارد دیگر، صدها ساچمه در بدن پراکنده شده و بافت نرم را تخریب کرده‌اند.

در پرونده «علی»، بیش از ۱۷۴ ساچمه در قفسه سینه راست دیده می‌شود. تراکمی که نشان می‌دهد شلیک از فاصله بسیار نزدیک انجام شده است. ریه راست او آسیب شدید دیده و تجمع خون و هوا در اطراف آن مشاهده می‌شود.

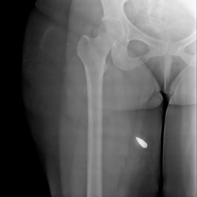
کارشناسان پزشکی گفته‌اند حتی با مداخله فوری، خطر مرگ در چنین شرایطی بالاست.اصابت ساچمه یا گلوله به اندام تناسلی و پیامدهای بلندمدت
بر اساس این گزارش، دست‌کم ۹ بیمار از ناحیه لگن یا اندام تناسلی هدف قرار گرفته‌اند؛ برخی با ساچمه و برخی با گلوله‌های کالیبر بالا.

در یکی از تصاویر، نزدیک به ۲۰۰ ساچمه در ران و لگن یک زن میانسال دیده شده است.

تحلیل پزشکی نشان می‌دهد این نوع جراحات می‌تواند به آسیب شدید اندام‌های داخلی، بی‌اختیاری در کنترل ادرار، ناباروری و ناتوانی جنسی منجر شود.

این پیامدها در بسیاری از موارد، دائمی خواهند بود.گلوله‌های تمام‌فلزی
در ۹ بیمار، گلوله‌های کالیبر بالا همچنان در بدن باقی مانده و در تصاویر دیده می‌شوند.

در موارد دیگر، مسیر شکستگی استخوان و قطعات فلزی باقی‌مانده نشان می‌دهد احتمالا اصابت گلوله‌های پرسرعت، عامل جراحت بوده‌اند.

کارشناسان این مهمات را از نوع «تمام‌فلزی» معرفی کرده‌اند؛ گلوله‌هایی که معمولا با سلاح‌هایی مانند ای‌کی-۴۷ (AK-47) شلیک می‌شوند و شکل خود را حفظ می‌کنند.

یکی از کارشناسان به گاردین گفته است: «این‌ها سلاح‌هایی با هدف کشندگی هستند.»
روایت پزشکان داخل ایران
پزشکان داخل ایران که هویت آنان تایید شده، از الگوی تکرارشونده جراحات شدید خبر داده‌اند.

یکی از آن‌ها به گاردین گفته است همکارانش ده‌ها جراحی برای خارج کردن چشم مجروحان انجام داده‌اند؛ از جمله برای نوجوانان و کودکان.

به گفته او، کوچک‌ترین بیمارش، دختر ۱۴ ساله‌ای بوده که در جریان تجمعات هدف شلیک قرار گرفته و به دلیل شدت آسیب، چشمش در عمل جراحی برداشته شده است.

این پزشک گفت که الگوی آسیب‌ها ـ به‌ویژه در چشم، قلب و ناحیه تناسلی ـ به دشواری با «شلیک تصادفی» قابل توضیح است.

پزشک دیگری که در بخش اورژانس فعالیت داشته، گفت که مجروحان از کودکان خردسال تا سالمندان را شامل می‌شده‌اند.

او از زنی حدود ۶۰ ساله یاد کرد که هنگام رفتن به‌دنبال نوه‌اش، هدف شلیک قرار گرفت و با وجود تلاش برای احیا، جان باخت.

این پزشک گفت: «هنوز هم در حال کنار آمدن با آن صحنه‌ها هستم ...»
+20
رأی دهید
-2

نظر شما چیست؟
جهت درج دیدگاه خود می بایست در سایت عضو شده و لوگین نمایید.