جنایت در گیلان؛ اسناد دو بیمارستان رشت در دو شب مرگبار دی
+54
رأی دهید
-3
مدارک پزشکی دو بیمارستان در شهر رشت، مرکز استان گیلان که در اختیار «ایرانوایر» قرار گرفته، نشان میدهد ماموران امنیتی و نظامی جمهوری اسلامی معترضان را از ناحیه اندامهای حیاتی هدف تیر جنگی و ساچمهای قرار دادهاندایران وایر: پویان مکاریمدارک پزشکی دو بیمارستان در شهر رشت، مرکز استان گیلان که در اختیار «ایرانوایر» قرار گرفته، نشان میدهد ماموران امنیتی و نظامی جمهوری اسلامی معترضان را از ناحیه اندامهای حیاتی هدف تیر جنگی و ساچمهای قرار دادهاند، به گونهای که بسیاری از این معترضان با خطر جانی و آسیب دایمی روبرو شدهاند. این اسناد نشان میدهد در جریان اعتراضات روزهای ۱۸، ۱۹ و ۲۰دیماه امسال ۳۰۷ مجروح اعتراضات تنها در دو بیمارستان شهر رشت تحت درمان قرار گرفتهاند که در این میان ۶۴ تن جان خود را از دست دادهاند.
شهر رشت یکی از کانونهای اعتراضات در دیماه ۱۴۰۴ بود، اعتراضاتی که بر اساس آماری که تاکنون منتشر شده یکی از «خونینترین» اعتراضات در تاریخ معاصر ایران قلمداد میشود. در حالی که مدارک اندکی از کشتار و سرکوب معترضان در شهرهای مختلف ایران منتشر شده، پروندههای این دو بیمارستان حاکی از سرکوب شدید معترضان با استفاده از سلاحهای کشنده است.
در این روزها تنها در دو بیمارستان این شهر در مجموع ۶۴ معترض به دلیل آنچه «تیرخوردگی» عنوان شده، جان خود را از دست دادهاند که در این میان نام ۱۲ زن و ۵۲ مرد دیده میشود. بیشترین تعداد معترضانی که در این دو بیمارستان جان خود را از دست دادهاند در روزهای ۱۹ و ۲۰ دیماه پذیرش شدهاند، به ترتیب ۲۶ و ۲۳ تن. ۱۲ مجروح پذیرششده نیز در ۱۸ دیماه جان سپردهاند.
وقتی سر معترضان هدف قرار میگیرد
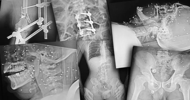
تصاویر رادیوگرافی معترضان نشان میدهد صورت انسانها به هدف تیراندازی تبدیل شدهاند. در چندین پرونده، صورت و سر مجروحان با دهها ساچمه فلزی پر شده است؛ ساچمههایی که در بافت نرم صورت، اطراف چشمها، بینی، فک و حتی نزدیکی جمجمه گیر کردهاند. این الگو با شلیکهای پراکنده و تصادفی همخوانی ندارد و بیشتر شبیه شلیک مستقیم و از فاصله نزدیک به چهره انسانهاست.
در تصویر رادیوگرافی سه تن از معترضان مجروح دیده میشود که در ناحیه سر، صورت و گردن هر کدام حدود ۱۰۰ ساچمه وجود دارد. تعداد ساچمهها در کنار پراکندگی وسیع، اندازه ریز و یکنواخت آنها و نفوذ برخی ساچمهها به جمجمه و بافتهای عمقی صورت، با مشخصات فشنگهای ساچمهریز (Birdshot) تطابق دارد. بر اساس اطلاعات پرونده این بیماران مجروحانی که در عکسهای شماره ۱ و ۲ رادیوگرافی آنها منتشر شده، پس از چند روز جان خود را از دست دادهاند.



«کیانا کثیری»، متخصص پزشک خانواده، که خود نیز در گروههای درمانی در جریان اعتراضات «زن زندگی آزادی» و همچنین اعتراضات دیماه امسال فعالیت داشته، در مورد این سه آسیبدیدگی میگوید: «این سه مجروح مورد اصابت تعداد متعدد ساچمه قرار گرفتند که بدون شک اندام چشم آسیب دیده، این مجروحان دچار التهاب و عفونت در ناحیه بافت گوشتی سر و صورت خواهند شد. از آنجا که در ناحیه صورت تمرکز رگهای خونی و رشتههای عصبی فوق العاده زیاد است، این مجروحان دچار دردهای فوقالعاده شدید خواهند شد که متاسفانه عمل جویدن و بلع را مختل میکند.
در مورد آسیب چشمی باید دید که آسیبدیدگی در چه حد و میزانی است. متاسفانه اگر درمان سریع انجام نشود و چشم عفونت کند مجبور به تخلیه چشم خواهند شد. در هر صورت آسیبدیدگی چشمی حاصل از اصابت ساچمهها باعث ضعف شدید قدرت بینایی خواهند شد.»
در حالی که رسیدگی پزشکی برای بسیاری از این معترضان حیاتی بوده، اما بر اساس پرونده داخلی این بیمارستانها نزدیک به ۴۰ مجروح در حالی که برخی وضعیت وخیمی داشتهاند، «با میل شخصی» از بیمارستان مرخص شدهاند و ۹ تن نیز از بیمارستان «فرار» کردهاند. این نشان میدهد بسیاری از این شهروندان از ترس بازداشت از ادامه درمان صرف نظر کردهاند.
شلیک به اندامهای حیاتی
تصاویر رادیوگرافی و سیتیاسکن نشان میدهد اندام حیاتی تعداد زیادی از معترضان هدف شلیک ماموران امنیتی و نظامی قرار گرفته است. گردن، قفسه سینه، شکم، ستون فقرات و ناحیه تناسلی نقاطی هستند که به کرات هدف تیرهای ساچمهای و گاهی جنگی قرار گرفتهاند. همچنین تعداد زیادی از معترضان تنها از یک ناحیه هدف قرار نگرفتهاند؛ در یکی از موارد تیرهای ساچمهای در سر، گردن، کتف، قفسه سینه، پهلو و لگن فرد بستری دیده میشود. این موارد میتواند حاصل شلیک بیش از یک بار به سمت این معترض باشد. کیانا کثیری در این مورد میگوید که برخی آسیبهای واردشده به این معترض «دائمی» است و تا پایان عمر همراه او خواهد بود.




برخی از معترضان نیز با گلوله جنگی و به شکل مشخص از ناحیه اندام حیاتی هدف قرار گرفتهاند. در یکی از تصاویر رادیوگرافی گلوله یا ترکش در قفسه سینه و در ناحیه ریه مجروح دیده میشود، در تصویری دیگر گلوله جنگی در ناحیه تناسلی یک مرد قرار دارد و در موردی دیگر گلوله در نزدیکی ستون فقرات بیمار ثابت مانده است. کیانا کثیری در مورد عکس آخر میگوید: «در این عکس دو نوع آسیب را مشاهده میکنیم. یکی اصابت ناحیه پشت با گلوله جنگی، بر اساس ورود و قرار گرفتن گلوله به نظر میرسد که گلوله از بالا شلیک شده و آسیب دوم شکستگی سه مهره کمری،Lumbal Columna است که نیاز به ترمیم با فیکسیشنهای ارتوپدی داشته است.»

استخوانهای خردشده دست و پا
دست و پای معترضان در شهر رشت نیز از شلیکهای ماموران جمهوری اسلامی در امان نبودهاند. تصاویر رادیوگرافی نشان میدهد بسیاری از معترضان در ناحیه دست و پا هدف تیرهای ساچمهای قرار گرفتهاند، شدت آسیب در برخی موارد تا حدی بوده که استخوان ساعد، ساق یا مچ پا خرد شدهاند. همچنین موارد متعددی از شکستگی در دست و پای معترضان بدون شلیک گلوله نیز دیده میشود.
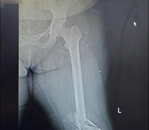
یکی از شدیدترین جراحات متعلق به زنی است که نه تنها کتف، بازو، ران و ناحیه تناسلی او هدف تیر ساچمهای قرار گرفته است، بلکه استخوان ران او نیز با اصابت گلوله جنگی خرد شده است. در تصاویر مشخص است که از فیکساتور برای درمان این مجروح استفاده شده است.




مدارک پزشکی ۳۰۷ مجروح اعتراضات نشان میدهد شلیک تیرهای ساچمهای و جنگی به سمت آنها به شکل برنامهریزیشده به نواحی از بدن بوده که بیشترین آسیب را به آنها وارد کند. در حالی که در میان این افراد ۶۴ تن کشته شدهاند، اما سرنوشت مجروحان دیگری که به دلیل ترس از بازداشت «با میل شخصی» مرخص شدهاند یا فرار کردهاند، مشخص نیست. افرادی که بیشترین تعداد در میان معترضان را به خود اختصاص دادهاند.
آمار ۶۴ کشته از ۳۰۷ مجروح نشان میدهد، مجروحان تنها در موارد حاد به بیمارستان مراجعه کردهاند. بر این اساس از هر پنج مجروح یک نفر جان خود را از دست داده است؛ آماری که غیرمعمول و بسیار بالا است و با سرکوب تنها با گاز اشکآور، باتوم و حتی شلیک معدود و غیرهدفمند همخوانی ندارد. این نشان میدهد سه عامل استفاده از سلاحهایی با قدرت کشندگی بالا، شلیکهای هدفدار و از فاصلههای نزدیک و همچنین شلیک به اندام حیاتی، الگویی در سرکوب معترضان در روزهای ۱۸، ۱۹ و ۲۰ دیماه ۱۴۰۴ در شهر رشت بوده است.
شهر رشت یکی از کانونهای اعتراضات در دیماه ۱۴۰۴ بود، اعتراضاتی که بر اساس آماری که تاکنون منتشر شده یکی از «خونینترین» اعتراضات در تاریخ معاصر ایران قلمداد میشود. در حالی که مدارک اندکی از کشتار و سرکوب معترضان در شهرهای مختلف ایران منتشر شده، پروندههای این دو بیمارستان حاکی از سرکوب شدید معترضان با استفاده از سلاحهای کشنده است.
در این روزها تنها در دو بیمارستان این شهر در مجموع ۶۴ معترض به دلیل آنچه «تیرخوردگی» عنوان شده، جان خود را از دست دادهاند که در این میان نام ۱۲ زن و ۵۲ مرد دیده میشود. بیشترین تعداد معترضانی که در این دو بیمارستان جان خود را از دست دادهاند در روزهای ۱۹ و ۲۰ دیماه پذیرش شدهاند، به ترتیب ۲۶ و ۲۳ تن. ۱۲ مجروح پذیرششده نیز در ۱۸ دیماه جان سپردهاند.
وقتی سر معترضان هدف قرار میگیرد
تصاویر رادیوگرافی معترضان نشان میدهد صورت انسانها به هدف تیراندازی تبدیل شدهاند. در چندین پرونده، صورت و سر مجروحان با دهها ساچمه فلزی پر شده است؛ ساچمههایی که در بافت نرم صورت، اطراف چشمها، بینی، فک و حتی نزدیکی جمجمه گیر کردهاند. این الگو با شلیکهای پراکنده و تصادفی همخوانی ندارد و بیشتر شبیه شلیک مستقیم و از فاصله نزدیک به چهره انسانهاست.
در تصویر رادیوگرافی سه تن از معترضان مجروح دیده میشود که در ناحیه سر، صورت و گردن هر کدام حدود ۱۰۰ ساچمه وجود دارد. تعداد ساچمهها در کنار پراکندگی وسیع، اندازه ریز و یکنواخت آنها و نفوذ برخی ساچمهها به جمجمه و بافتهای عمقی صورت، با مشخصات فشنگهای ساچمهریز (Birdshot) تطابق دارد. بر اساس اطلاعات پرونده این بیماران مجروحانی که در عکسهای شماره ۱ و ۲ رادیوگرافی آنها منتشر شده، پس از چند روز جان خود را از دست دادهاند.



«کیانا کثیری»، متخصص پزشک خانواده، که خود نیز در گروههای درمانی در جریان اعتراضات «زن زندگی آزادی» و همچنین اعتراضات دیماه امسال فعالیت داشته، در مورد این سه آسیبدیدگی میگوید: «این سه مجروح مورد اصابت تعداد متعدد ساچمه قرار گرفتند که بدون شک اندام چشم آسیب دیده، این مجروحان دچار التهاب و عفونت در ناحیه بافت گوشتی سر و صورت خواهند شد. از آنجا که در ناحیه صورت تمرکز رگهای خونی و رشتههای عصبی فوق العاده زیاد است، این مجروحان دچار دردهای فوقالعاده شدید خواهند شد که متاسفانه عمل جویدن و بلع را مختل میکند.
در مورد آسیب چشمی باید دید که آسیبدیدگی در چه حد و میزانی است. متاسفانه اگر درمان سریع انجام نشود و چشم عفونت کند مجبور به تخلیه چشم خواهند شد. در هر صورت آسیبدیدگی چشمی حاصل از اصابت ساچمهها باعث ضعف شدید قدرت بینایی خواهند شد.»
در حالی که رسیدگی پزشکی برای بسیاری از این معترضان حیاتی بوده، اما بر اساس پرونده داخلی این بیمارستانها نزدیک به ۴۰ مجروح در حالی که برخی وضعیت وخیمی داشتهاند، «با میل شخصی» از بیمارستان مرخص شدهاند و ۹ تن نیز از بیمارستان «فرار» کردهاند. این نشان میدهد بسیاری از این شهروندان از ترس بازداشت از ادامه درمان صرف نظر کردهاند.
شلیک به اندامهای حیاتی
تصاویر رادیوگرافی و سیتیاسکن نشان میدهد اندام حیاتی تعداد زیادی از معترضان هدف شلیک ماموران امنیتی و نظامی قرار گرفته است. گردن، قفسه سینه، شکم، ستون فقرات و ناحیه تناسلی نقاطی هستند که به کرات هدف تیرهای ساچمهای و گاهی جنگی قرار گرفتهاند. همچنین تعداد زیادی از معترضان تنها از یک ناحیه هدف قرار نگرفتهاند؛ در یکی از موارد تیرهای ساچمهای در سر، گردن، کتف، قفسه سینه، پهلو و لگن فرد بستری دیده میشود. این موارد میتواند حاصل شلیک بیش از یک بار به سمت این معترض باشد. کیانا کثیری در این مورد میگوید که برخی آسیبهای واردشده به این معترض «دائمی» است و تا پایان عمر همراه او خواهد بود.




برخی از معترضان نیز با گلوله جنگی و به شکل مشخص از ناحیه اندام حیاتی هدف قرار گرفتهاند. در یکی از تصاویر رادیوگرافی گلوله یا ترکش در قفسه سینه و در ناحیه ریه مجروح دیده میشود، در تصویری دیگر گلوله جنگی در ناحیه تناسلی یک مرد قرار دارد و در موردی دیگر گلوله در نزدیکی ستون فقرات بیمار ثابت مانده است. کیانا کثیری در مورد عکس آخر میگوید: «در این عکس دو نوع آسیب را مشاهده میکنیم. یکی اصابت ناحیه پشت با گلوله جنگی، بر اساس ورود و قرار گرفتن گلوله به نظر میرسد که گلوله از بالا شلیک شده و آسیب دوم شکستگی سه مهره کمری،Lumbal Columna است که نیاز به ترمیم با فیکسیشنهای ارتوپدی داشته است.»


استخوانهای خردشده دست و پادست و پای معترضان در شهر رشت نیز از شلیکهای ماموران جمهوری اسلامی در امان نبودهاند. تصاویر رادیوگرافی نشان میدهد بسیاری از معترضان در ناحیه دست و پا هدف تیرهای ساچمهای قرار گرفتهاند، شدت آسیب در برخی موارد تا حدی بوده که استخوان ساعد، ساق یا مچ پا خرد شدهاند. همچنین موارد متعددی از شکستگی در دست و پای معترضان بدون شلیک گلوله نیز دیده میشود.
یکی از شدیدترین جراحات متعلق به زنی است که نه تنها کتف، بازو، ران و ناحیه تناسلی او هدف تیر ساچمهای قرار گرفته است، بلکه استخوان ران او نیز با اصابت گلوله جنگی خرد شده است. در تصاویر مشخص است که از فیکساتور برای درمان این مجروح استفاده شده است.




مدارک پزشکی ۳۰۷ مجروح اعتراضات نشان میدهد شلیک تیرهای ساچمهای و جنگی به سمت آنها به شکل برنامهریزیشده به نواحی از بدن بوده که بیشترین آسیب را به آنها وارد کند. در حالی که در میان این افراد ۶۴ تن کشته شدهاند، اما سرنوشت مجروحان دیگری که به دلیل ترس از بازداشت «با میل شخصی» مرخص شدهاند یا فرار کردهاند، مشخص نیست. افرادی که بیشترین تعداد در میان معترضان را به خود اختصاص دادهاند.
آمار ۶۴ کشته از ۳۰۷ مجروح نشان میدهد، مجروحان تنها در موارد حاد به بیمارستان مراجعه کردهاند. بر این اساس از هر پنج مجروح یک نفر جان خود را از دست داده است؛ آماری که غیرمعمول و بسیار بالا است و با سرکوب تنها با گاز اشکآور، باتوم و حتی شلیک معدود و غیرهدفمند همخوانی ندارد. این نشان میدهد سه عامل استفاده از سلاحهایی با قدرت کشندگی بالا، شلیکهای هدفدار و از فاصلههای نزدیک و همچنین شلیک به اندام حیاتی، الگویی در سرکوب معترضان در روزهای ۱۸، ۱۹ و ۲۰ دیماه ۱۴۰۴ در شهر رشت بوده است.
۴۴

paksan - ایران، ایران
مجموعه بمباران اطلاعات غلط . در اعتشاشاتیزکه مردم کلی اموالشون به آتش کشیده شد انتظار دارید به این اوباش گل بدهند؟
46
0
جمعه ۲۴ بهمن ۱۴۰۴ - ۱۸:۵۳
۴۷

سیمرغ ایران - برلین، آلمان
paksan - ایران، ایران
مسئله اصلی این هست که از ابتدا چرا مردم باید معترض باشند برا اینکه با این وضع کشور داری مملکت رو به گند کشیدند مگر مردمی که تامین باشند اصلا معترض میشند تا کی میخوای انسانیت و شرفت رو خرج این جنایتکاران بی کقایت کنی. مشکل کشور ما بیشتر برا اینه که متاسفانه فاحشه سیاسی زیاد داریم0
21
جمعه ۲۴ بهمن ۱۴۰۴ - ۱۹:۴۵