قطع دست، فلج دو پا و شکستن دو دندان نیش پلنگ ایرانی

یک پلنگ نر ایرانی بزرگ (با نزدیک به یکصد کیلوگرم وزن) که در نزدیکی شهر تنکابن با مشکلات بسیار زیاد گرفته شده و برای مداوا به تهران منتقل شده بود، پس از آسیبهای شدیدی مانند قطع دست از مچ و قطع نخاع در پی شلیک، در انتظار انجام مرگ آسان به سر میبرد.
آن طور که نزدیکان و پزشکان تیم بررسی وضعیت این پلنگ میگویند، این حیوان را برخی از علاقمندان محیط زیست ساری مشاهده کرده و سعی میکنند با انعکاس خبر کاری برای آن انجام دهند.
تماسها به فعالان شبکه دیدبان محیط زیست میرسد و آنها هم از دامپزشکان درخواست کمک میکنند. یک دامپزشک محیط زیست در تنکابن حیوان را با دارو بیهوش کرده و برای انتقال به تهران، آماده میکند.
به گفته ایمان معماریان، دکتر دامپزشک که وضعیت این پلنگ را دنبال کرده، حیوان وضعیت بسیار بدی داشته و به دلیل این که با قفس بدی او را فرستادند، مشکلات بیشتری هم پیدا کرده بود. آقای معماریان در گفت وگو با رادیو فردا میگوید: «فقط همان قفس بد که او را با آن فرستاده بودند، باعث شده بود دو دندان نیش حیوان به سمت درون بشکند. از این نظر که حیوان در حال تقلا در قفس بوده و با گاز گرفتن قفس، دندانهایش میشکند.»
قفسهایی که برای انتقال حیوان از آنها استفاده میشود، استانداردهای خاصی دارند که حیوان نه تنها در صورت تقلا آسیب نبیند، که در صورت حرکت و ضربههای احتمالی ناشی از تحرک، در امان بماند. اما این حیوان گویا در قفسی آهنی معمولی که شاید برای نگهداری مرغ و خروس از آن استفاده میکنند، به تهران منتقل میشود.
جمعه شب سیزدهم دی ماه بود که خبر دادند پلنگی که دچار مشکلات جدی است، در نزدیکی تنکابن در استان مازندران گرفته شده و برای مداوا به تهران ارسال میشود. حدود پنج صبح روز شنبه، چهاردهم دی ماه به تهران میرسد که وضعیت او در کلینیک دامپزشکی دانشکده دامپزشکی دانشگاه تهران تحت پیگیری قرار گرفت.
شاهدانی که وضعیت این پلنگ را پیگیری کردهاند، میگویند شماری از مردمی که شنیده بودند یک پلنگ زخمی در نزدیکی دیده شده، به سراغ او رفته و با سنگ او را میزنند. حیوان که توان حرکت درستی نداشته، با مشکل خود را به رودخانه رسانده تا از پرتاب سنگ در امان باشد.
تعداد زیادی گلوله و ساچمه، قطع دست در تله
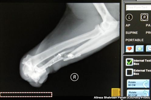
ایمان معماریان درباره وضعیت پلنگ وقتی به تهران رسید میگوید: «وقتی حیوان به تهران رسید، در قفسی بسیار نامناسب بود. بعد از بیهوشی و انجام رادیوگرافی مشخص شد که تعداد بسیار زیادی گلوله در بدن حیوان وجود دارد که به زمانهای مختلف بازمیگردند.»
وی میافزاید: «همچنین دست راست حیوان به دلیل گیر گردن در تله مدتها پیش از ناحیه مچ قطع شده است. یکی از گلولههایی که به تازگی به حیوان شلیک شده بود کاملا در مجاورت مهره ششم کمری در کانال نخاعی دیده میشد. سی تی اسکن نیز نشان داد که گلوله از بدنه مهره پنجم کمری وارد کانال نخاعی شده و تا انتهای مهره ششم در کانال نخاعی حرکت کرده و کل کانال را پرکرده است.»
ضایعات بالا، درد و رنج شدید حیوان
ایمان معماریان در مورد وضعیت حیوان میگوید: «ضایعه شدید نخاعی بدون شک در این حیوان غیرقابل درمان و برگشت ناپذیر است و به این دلیل و درد رنج بالای حیوان با وجود ارزش بسیار بالای گونه نادر پلنگ ایرانی، تیم دامپزشکی تصمیم به انجام مرگ بدون درد و راحت کردن حیوان گرفت.»
وی افزود: «پیش از اجرای مرگ آسان، با استفاده از داروهای ضد درد قوی از پلنگ نمونه اسپرم و سلول های بنیادی خواهیم گرفت.»
به گفته ایمان معماریان، از این نمونهها در همانندسازی (کلونینگ)، تلقیح مصنوعی و برای امکان ترمیم آسیبهای اندامهای دیگر مانند آسیبهای نخاعی استفاده خواهد شد. وی همچنین در پایان از خدمات دیگر اعضای تیم از جمله یاسمین والی، دکتر سعید فرزاد، دکتر محمود مرعشی و مهندس علی عمارلوئی، امیرحسین خالقی و علیرضا شهرداری سپاسگزاری کرد.
وی همچنین گفت در صورتی که مرگ آسان او اجازه اش داده شود، روز سه شنبه همین هفته حیوان را از درد راحت خواهیم کرد.

دست راست حیوان به دلیل گرفتاری در تله، از مچ قطع شده و به تدریج افتاده است

یکی از تازه ترین شلیک هایی که به حیوان شده و زخمش هنوز تازه است

قفسی که در آن پلنگ به تهران متقل شده و باعث شد دو دندان نیش او بشکند

عکس رادیولوژی، تیراندازی و آسیب های کمر حیوان را نشان می دهد

یاسمین والی، (راست) و ایمان معماریان (چپ) در اتاق رادیولوژی

علیرضا شهرداری (راست) و ایمان معماریان (چپ) بالای سر پلنگ


قفسی که پلنگ با آن به تهران منتقل شد




سی تی اسکن از ناحیه قطع نخاع پلنگ

پلنگ با مچ قطع شده