مرگ ۱۵ نفر در آمریکا بر اثر مننژیت قارچی

به گفته CDC، مننژیت نوع قارچی مسری نیست
به گفته مقامات بهداشتی آمریکا، شیوع بیماری مننژیت قارچی که با تزریق نوعی استروئید برای مداوای درد ستون فقرات مرتبط بوده است، تا کنون جان ۱۵ نفر را گرفته است.
نهاد مرکزی کنترل و پیشگیری از امراض در آمریکا (CDC)، اعلام کرد که تازه ترین مورد مرگ در ایالت ایندیانا به وقوع پیوسته است.
در کل، نزدیک به ۲۰۰ نفر در ۱۳ ایالت به این بیماری مبتلا شده اند.
پیشتر، یک کمپانی دارویی در ماساچوست خواستار بازگرداندن بیش از ۱۷ هزار آمپول استروئید شده بود که به بیش از ۷۰ کلینیک در کل آمریکا ارسال شده بودند.
سیزده ایالتی که بیماری در آنان شیوع پیدا کرده عبارتند از: تنسی، میشیگان، ویرجینیا، فلوریدا، مریلند، مینهسوتا، کارولینای شمالی، نیوجرسی، اوهایو، ایلینوی، آیداهو و تگزاس.
به گفته CDC، مننژیت قارچی مسری نیست.
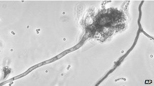
در مننژیت، غشاء پوشاننده مغز و نخاع در بیمار دچار ورم می شود. علائم ابتلا به مننژیت، شامل سردرد شدید، تهوع و تب می شود که در عین حال با نشانه های دیگری همچون بریده بریده حرف زدن و داشتن مشکل هنگام راه رفتن، همراه است.
داروهایی که گفته می شود ممکن است مسبب شیوع مننژیت شده باشند، ساخت کمپانی NECC در شهر ماساچوست بوده اند.
این تولیدکننده، هفته پیش داوطلبانه خواستار پس فرستادن همه محصولاتی شد که در کارخانه اش - واقع در فارمینگهام – تولید شده اند و اکنون در شبکه دارویی آمریکا موجودند.
مسئولان بهداشتی در ماساچوست گفته اند که پیش از این نیز در سال ۲۰۰۲ و ۲۰۰۳ شکایاتی از این کمپانی به عمل آمده بود.
بر اساس اعلام اداره بهداشت ماساچوست، در فاصله بین ماه ژوییه تا سپتامبر، تعداد ۱۷,۶۷۶ آمپول استروئید متیل پردنیزولون استات (methylprednisolone acetate) به ۷۶ مرکز درمانی در ۲۳ ایالت ارسال شده است.
در اقدامی به منظور اطلاع رسانی بهتر، CDC کلیک فهرست کامل کلینیک هایی که این دارو را دریافت کرده اند، در وبسایت خود منتشر کرده است.