میزان و نوع درد را با تهیه نقشه درد در مغز می توان دقیق تخمین زد

همشهری آنلاین: دانشمندان با استفاده از نقشه درد در مغز در حال کار بر روی شیوه اندازه گیری میزان و موقیعت درد در بیماران هستند.

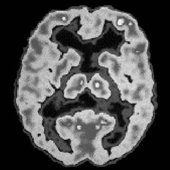
به گزار ش خبرگزاری مهر،‌ این تحقیق که در آن از فناوری اسکن مغز استفاده می‌شود، در نهایت می‌تواند به بحث‌های قدیمی در مورد اینکه آیا زنان بیش از مردان دچار درد می‌شوند، پایان دهد.

 
زنان از این موضوع شکایت دارند که مردان در مورد احساس درد مانند کمر درد اغراق می‌کنند تا به آنها توجه بیشتری شود و یا اینکه کارهای تعمیری منزل را خودشان انجام ندهند.
 
اما این بحث به زودی پایان می‌یابد چرا که محققان در دانشگاه کالج لندن نقشه دردی را ارائه کرده‌اند که آنها را به شناخت موقعیت و شدت واقعی درد در بدن قادر می‌سازد.
 
عصب شناسان برای مشاهده اینکه چگونه مغز به درد واکنش نشان می‌دهد و همچنین برای تهیه نقشه سیگنال‌های بخش‌های مختلف بدن از فناوری‌های پیچیده‌ای استفاده می‌کنند.
 
این شیوه به آنها در اندازه گیری میزان درد ناشی از سیگنال‌های مغزی کمک می‌کند.
 
شیوه‌های کنونی تخمین درد چندان کارآمد نیستند زیرا در شیوه کنونی از مقیاس یک تا 10 استفاده می‌کند که نسبتا غیر قابل اعتماد تلقی می‌شود.
 
دکتر فلاویا مانچینی دانشمند عصب شناختی در دانشگاه کالج لندن و یکی از مجریان تهیه این نقشه، می‌گوید بخش‌های مختلف بدن وقتی دچار درد می‌شوند مناطق خاصی از مغز را روشن می‌کنند.
 
به گفته وی این امر می‌تواند به پزشکان کمک کند برای نخستین بار بتوانند کمیت درد را به طور عینی مشخص کنند.
 
وی افزود: شیوه‌هایی که ما کمیت درد را با آن مشخص می‌کنیم در حال حاضر غیر قابل اعتماد هستند و اگر بیماری توان ارتباط برقرار کردن نداشته باشد تعیین میزان درد در او دشوار می‌شود.
 
در آینده این نقشه، شیوه‌ای برای ردیابی درد در بیماران خواهد بود چراکه یک سیگنال در مغز وجود دارد که نشان دهنده دردی است که فرد در حال تجربه آن است.


baharmazaheri - عجمان - دبي
در اروپا این روش در زایمان نرمال وجود دارد بنام ( اپی دورال) با عدد درجه درد و تزریق مسکّن با دست خود مریض در سرم وصل شده انجام میشود زایمان اسونه اینجا ..
جمعه 17 شهريور 1391 - 15:58
نظر شما چیست؟
جهت درج دیدگاه خود می بایست در سایت عضو شده و لوگین نمایید.